Before & After Gallery
The images below show examples of the different types of work carried out at the Street Lane Dental & Implant Clinic. All the images are of real patients of the Clinic treated by Dr Roberts and our Hygienist's.
Please hover over the slider and use the arrows to move the slider left and right. Click on an image to enlarge it and see further information.
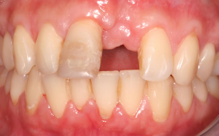
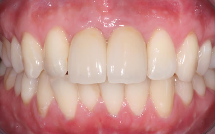
Front teeth replaced by dental implants
Case One (5 images)
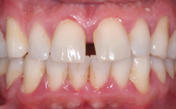
Dental implants used to replace two upper front teeth
Case Two (4 images)
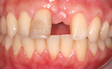
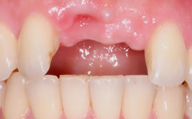
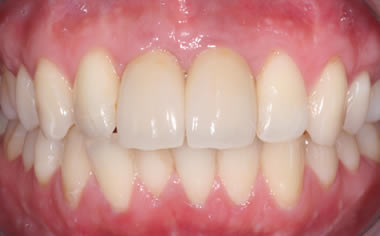
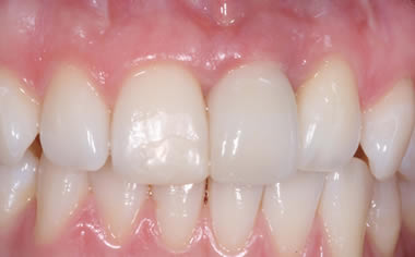
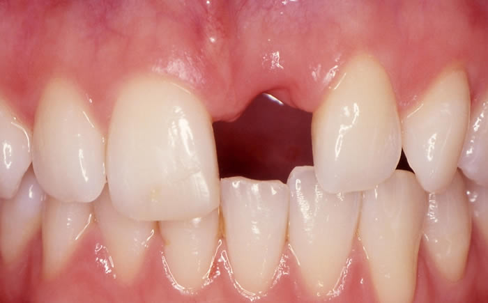
Missing upper front tooth replaced by dental implant and crown
Back teeth replaced by dental implants
Case One (3 images)
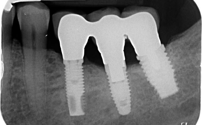
Missing lower teeth replaced by three dental implants and crowns.
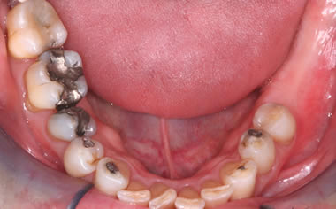
Case Two (5 images)
Six missing lower back teeth replaced by dental implants
Full arches of teeth replaced by dental implants
Case One (5 images)
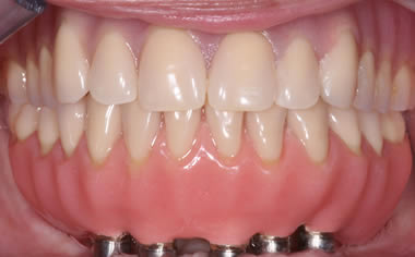
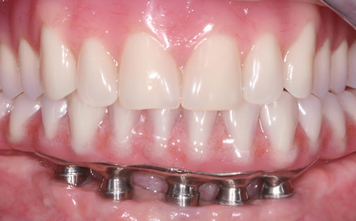
Full set of lower teeth fixed onto five dental implants.
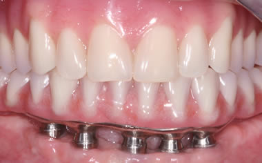
Case Two (8 images)
Full set of lower teeth fixed onto five dental implants.
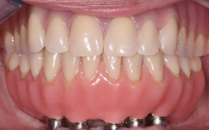
Loose dentures secured by dental implants
Case One (5 images)
Three dental implants used to secure a loose lower denture.
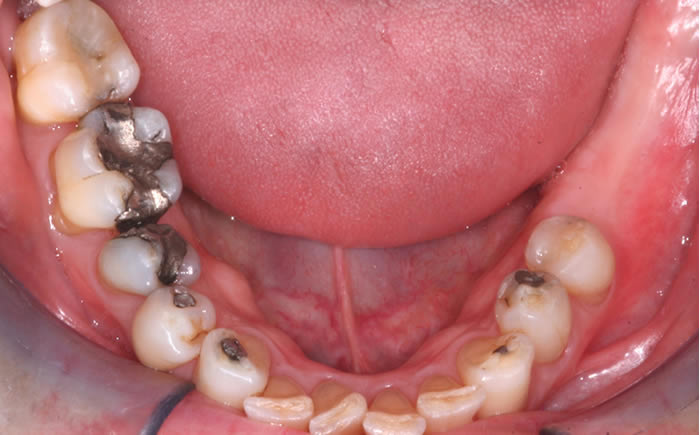
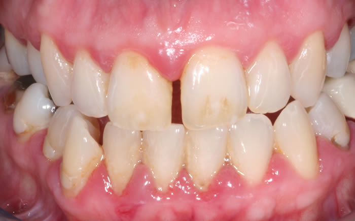
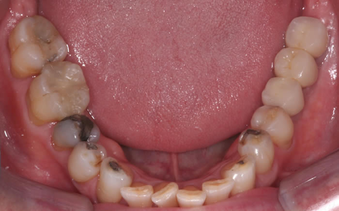
Gum disease
Case One (2 images)
Treatment of severe gum disease.
Case Two (2 images)
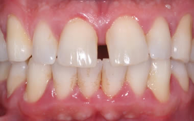
Treatment of moderate gum disease.
Case Three (2 images)
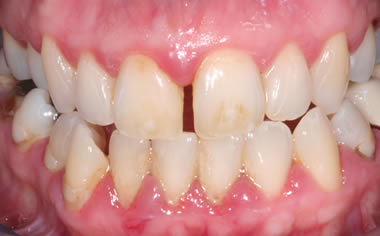
Treatment of moderate gum disease.

0113 268 2500







































