Before & After Gallery
Please hover over the slider and use the arrows to move the sliders left and right. Click on an image to enlarge it and see further information.
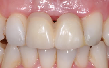
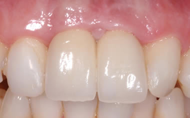
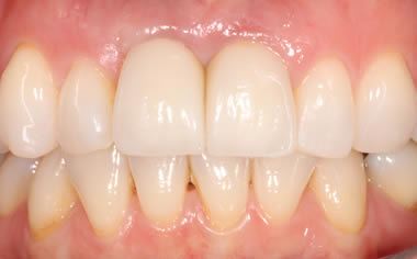
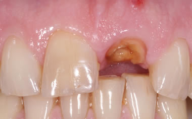
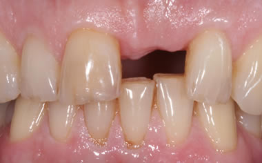
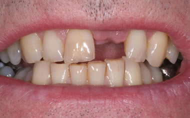
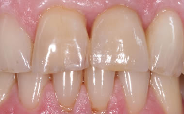
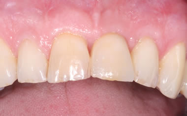
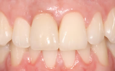
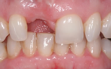
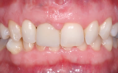
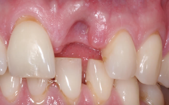
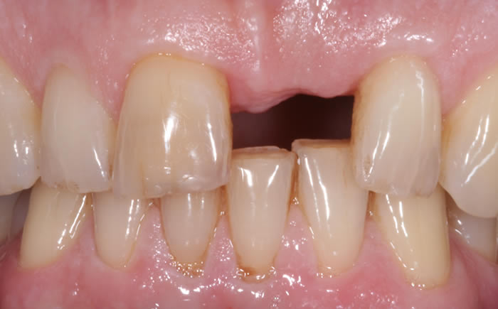
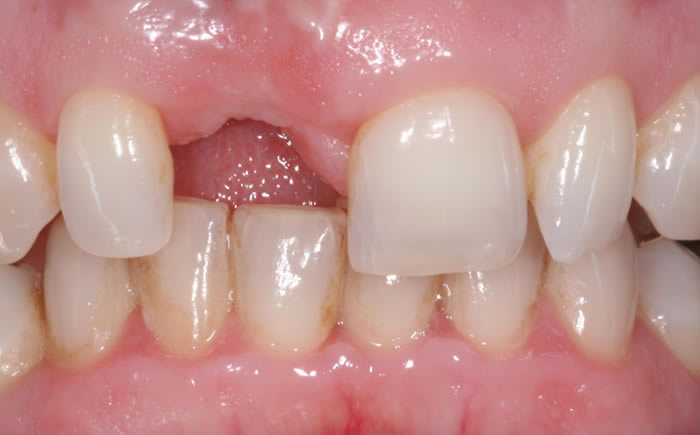
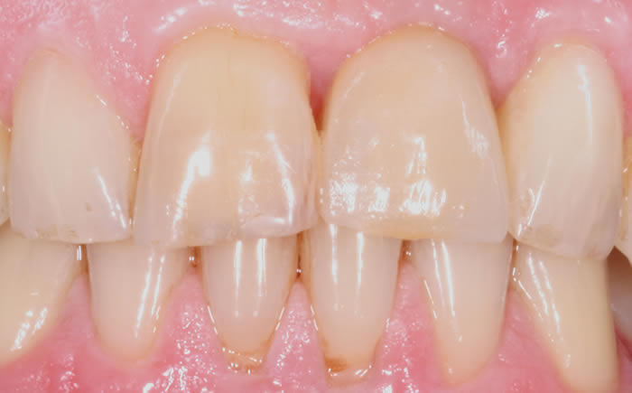
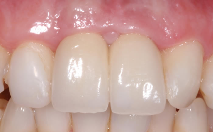
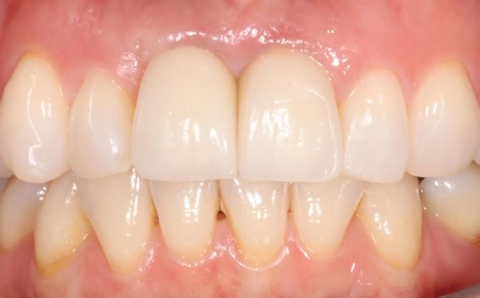
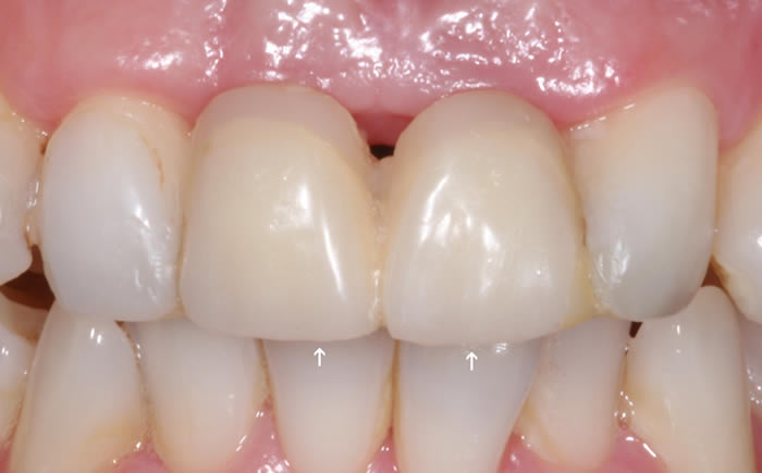
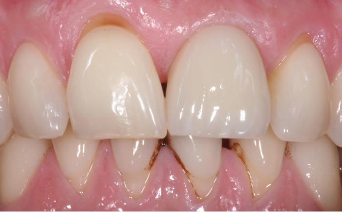
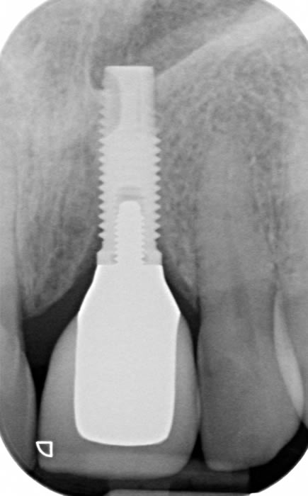
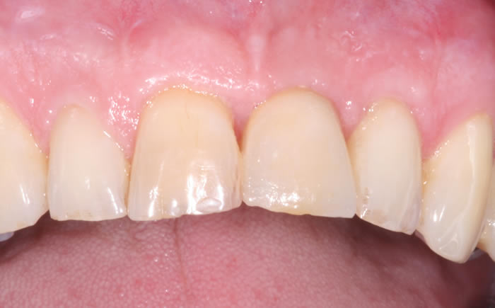
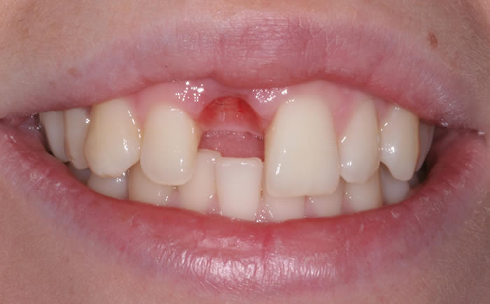
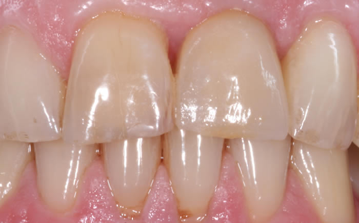
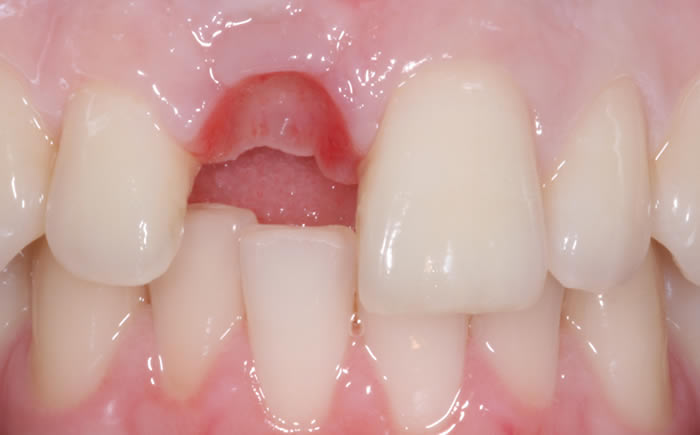
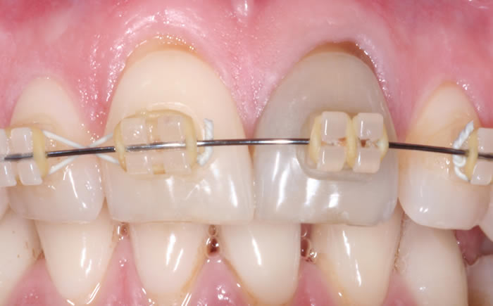
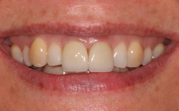
More front teeth replaced by dental implants
Case Three (4 images)
Case Four (6 images)
Case Five (7 images)
Case Six (6 images)
Case Seven (4 images)
Case Eight (5 images)

0113 268 2500






























